Sonrisa Renovada
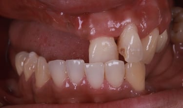
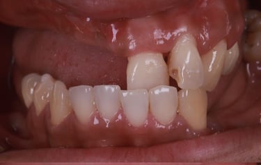
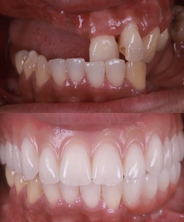
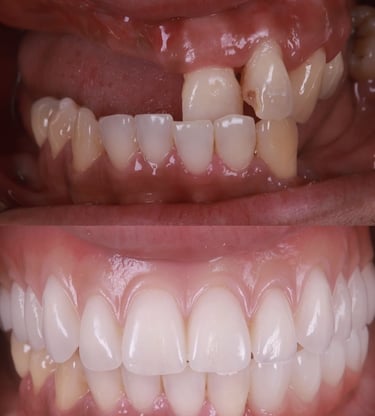
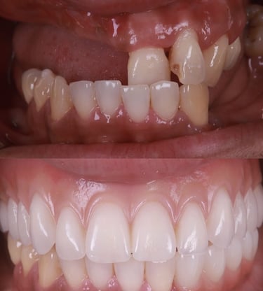
Este caso revela una condición de la boca que requería una corrección extensa. Se observa la pérdida de múltiples dientes en la arcada superior frontal, dejando un espacio considerable que afecta la estética de la sonrisa. Los dientes restantes están notablemente desgastados, cortos y con una tonalidad amarillenta, y algunos presentan astillados o daños estructurales. En la vista de cerca, es claro que la boca no solo carece de piezas dentales clave, sino que la forma y el color de los dientes presentes no son uniformes ni armónicos, lo cual exige una rehabilitación completa.






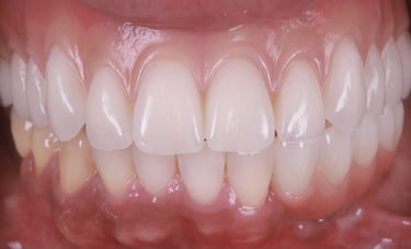
El resultado es una transformación espectacular de la sonrisa. Se observa una dentadura completa y uniforme, donde todos los dientes faltantes han sido reemplazados. Los dientes tienen un color blanco brillante y una forma perfecta, simétrica y de tamaño ideal. En la vista de cerca, se aprecia el trabajo de precisión: los nuevos dientes están perfectamente alineados, cubriendo la totalidad de la encía visible y logrando una estética natural y saludable, lo cual resulta en una sonrisa radiante y completa en las vistas del rostro.






Este resultado se logró a través de un proceso integral de Rehabilitación Oral Estética y Funcional, que abordó tanto la pérdida de piezas como la estética general. El tratamiento que se utilizó incluye la colocación de implantes dentales para reemplazar los dientes perdidos en la parte frontal superior. Adicionalmente, se colocaron carillas de porcelana en el resto de los dientes visibles (superiores e inferiores) para corregir el color, la forma, el desgaste y lograr esa uniformidad perfecta. En resumen, este fue un trabajo extenso de reconstrucción total de la sonrisa utilizando técnicas de prótesis y estética avanzada.




Recupera la alegría de sonreír. Nosotros te ayudamos.
clinicasalegria3@gmail.com
+502 5634-3045
© 2025. Creador por CSC 3:23.


Edificio Plaza Buró, 20 Calle 18-23, Cdad. de Guatemala 01010
Ciudad de Guatemala
+502 5634-3045
Sololá
Zona 1, Sololá a 50 metros de Maga
+502 4232-3914
Santiago Atitlán
Cantón Pachichaj, Salida A San Lucas Tolimán, Frente Del Campo San Jorge
+502 3499-4997 / +502 3176-4411
