Rehabilitación Compleja
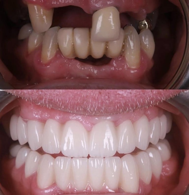
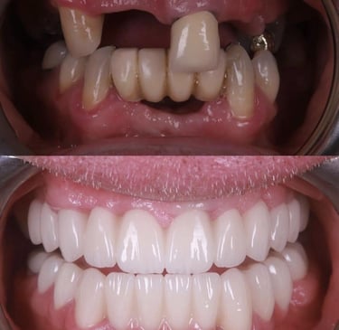
Esta impresionante transformación se logró mediante un proceso integral y complejo de rehabilitación oral completa. El tratamiento que se utilizó incluyó la extracción de dientes irrecuperables, la colocación de implantes dentales para reemplazar las piezas perdidas (especialmente visible en la arcada superior donde faltaban varios dientes), y la confección de prótesis fijas completas (coronas o puentes) sobre los implantes y/o sobre los dientes naturales restantes que pudieron ser salvados. Estas prótesis, generalmente de porcelana, fueron diseñadas meticulosamente para lograr el color, la forma y la función perfectas. En esencia, se realizó una reconstrucción total de ambas arcadas dentales, devolviendo al paciente tanto la funcionalidad como una sonrisa completamente nueva.


Recupera la alegría de sonreír. Nosotros te ayudamos.
clinicasalegria3@gmail.com
+502 5634-3045
© 2025. Creador por CSC 3:23.


Edificio Plaza Buró, 20 Calle 18-23, Cdad. de Guatemala 01010
Ciudad de Guatemala
+502 5634-3045
Sololá
Zona 1, Sololá a 50 metros de Maga
+502 4232-3914
Santiago Atitlán
Cantón Pachichaj, Salida A San Lucas Tolimán, Frente Del Campo San Jorge
+502 3499-4997 / +502 3176-4411
