La Magia de las Carillas Dentales
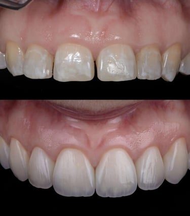
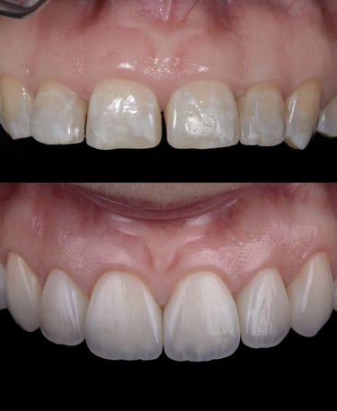
Esta espectacular mejora estética se logró mediante la colocación de carillas dentales. En este proceso, se colocaron unas finas láminas hechas a medida sobre la parte frontal de cada diente. Las carillas no solo cubrieron las manchas y defectos del esmalte, sino que también permitieron corregir la forma y el tamaño de los dientes para crear una sonrisa perfectamente alineada, blanca y brillante. Es un procedimiento altamente efectivo para transformar completamente la estética de la dentadura, dando como resultado una apariencia natural y rejuvenecida.


Recupera la alegría de sonreír. Nosotros te ayudamos.
clinicasalegria3@gmail.com
+502 5634-3045
© 2025. Creador por CSC 3:23.


Edificio Plaza Buró, 20 Calle 18-23, Cdad. de Guatemala 01010
Ciudad de Guatemala
+502 5634-3045
Sololá
Zona 1, Sololá a 50 metros de Maga
+502 4232-3914
Santiago Atitlán
Cantón Pachichaj, Salida A San Lucas Tolimán, Frente Del Campo San Jorge
+502 3499-4997 / +502 3176-4411
