Corrección Multifuncional
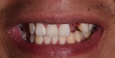
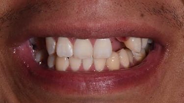
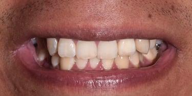
El problema principal de la boca del paciente se centraba en la zona posterior y lateral derecha de la arcada superior, donde se observa la ausencia de un diente y la desalineación y rotación del diente adyacente, creando un espacio vacío y una mordida irregular. Adicionalmente, todos los dientes visibles presentaban manchas blancas irregulares y opacas en el esmalte, lo que se conoce como fluorosis o hipoplasia, y que comprometía la estética. Para solucionar estos problemas complejos, se implementó un tratamiento que combinó varias técnicas: la Ortodoncia fue utilizada para mover y realinear el diente rotado y corregir la posición de la mordida; y para la restauración estética, se utilizó resinas estéticas para cubrir las manchas blancas y darle a los dientes un color más uniforme y un brillo natural. El resultado final es una boca funcionalmente mejorada y estéticamente corregida, con la desalineación resuelta, los espacios cerrados (o preparados para un implante si el diente faltante no pudo ser movido) y una sonrisa visiblemente más uniforme y libre de las manchas originales.




Recupera la alegría de sonreír. Nosotros te ayudamos.
clinicasalegria3@gmail.com
+502 5634-3045
© 2025. Creador por CSC 3:23.


Edificio Plaza Buró, 20 Calle 18-23, Cdad. de Guatemala 01010
Ciudad de Guatemala
+502 5634-3045
Sololá
Zona 1, Sololá a 50 metros de Maga
+502 4232-3914
Santiago Atitlán
Cantón Pachichaj, Salida A San Lucas Tolimán, Frente Del Campo San Jorge
+502 3499-4997 / +502 3176-4411
